歡迎來到親寶網
親寶網
 親寶網 >> 0到1歲 >> 0到1歲知識 >> 關於0到1歲知識 >> 三個月寶寶支氣管肺炎怎麼治療
0到3個月知識4到6個月知識7到12個月知識關於0到1歲知識

三個月寶寶支氣管肺炎怎麼治療

概 述

現在孩子的年齡已經有三個月了,可是當孩子剛剛到三個月的時候就開始咳嗽起來了,並且在孩子咳嗽的時候我還發現孩子在咳嗽的期間慢慢的會出現一種呼吸困難的表現,甚至還會出現嚴重的喘息現象,晚上睡覺的時候也因為這個因素導致孩子睡覺都不安穩,而做了檢查後醫生說孩子是患了支氣管肺炎,我想知道三個月寶寶支氣管肺炎怎麼治療?

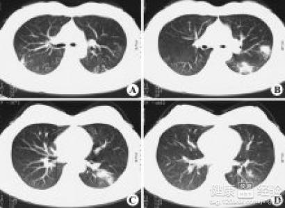
三個月寶寶支氣管肺炎怎麼治療

步驟/方法:

1如果孩子患上了支氣管肺炎疾病的話,那麼就要趕緊給孩子做治療,治療的時候要檢查孩子的疾病嚴重程度,給孩子做個胸部CT檢查,檢查看看孩子的炎症到底是有多嚴重,也要看看感染的地方有好多。

第1步

2然後根據孩子的症狀來選擇方法對症的治療,期間給孩子少吃一些甜食,這樣的甜食是不利於孩子疾病恢復的,同時還有可能會導致孩子有痰的時候出現粘連,不宜排出來的現象發生。

3針對孩子的支氣管肺炎疾病做治療的時候也要及時的給孩子采用消炎的藥物來做治療,用消炎藥物的時候則可以給孩子用到頭孢,但是頭孢有吃藥和打針還有輸液的方式,建議根據孩子的症狀來選擇對症的治療。

注意事項:

期間建議給孩子多喝開水,並且要避免孩子在這段時間接觸到一些病毒感染的現象,這樣的現象一定要及時的給孩子避免,要遠離,同時讓孩子多吃清淡的食物。

關於0到1歲知識
寶寶鼻子裡面的鼻屎很多,怎麼辦?

健康咨詢描述:

暴躁的孩子多吃什麼好

對於性格暴躁的兒童,父母應多

感冒咳嗽可以吃水果嗎

感冒咳嗽可以吃水果嗎

黃疸值4.6正常嗎、

病情描述(發病時間、主要症狀、症狀變化等):出生3天

Copyright © 親寶網 All Rights Reserved