歡迎來到親寶網
親寶網
 親寶網 >> 0到1歲 >> 0到1歲知識 >> 關於0到1歲知識 >> 2歲小孩門牙齲齒
0到3個月知識4到6個月知識7到12個月知識關於0到1歲知識

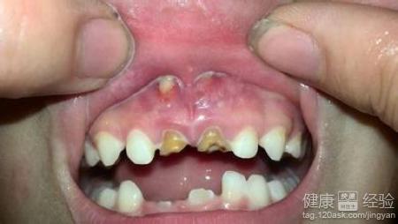
2歲小孩門牙齲齒

概 述

齲齒就是我們俗話說的蟲牙、蛀牙,這種疾病都是細菌引起的,如果不及時治療,病情可能會繼續發展,甚至能引起各種炎症發生,最終導致牙冠完全被破壞,然後會變為齲洞,而隨著齲洞一點一點得增大,牙冠也會一點點得崩毀,其最終的結果可能會導致牙齒長不出來。小孩門牙齲齒是發病率高的一種病,也是嬰兒口腔中常見得一種病,同時也是我們人們平時最常見也是最普遍得一種病,

2歲小孩門牙齲齒

步驟/方法:

1孩子的乳牙被蛀牙破壞,這會讓孩子的語言能力減弱,造成咀嚼功能不足,然後影響孩子的面部發育,最後更會導致孩子營養攝入不足,進而影響孩子們的生長。所以一定要注意孩子牙齒的健康。

2小孩子們門牙的齲齒多數由於小孩子喜歡吃糖或者是小時候用奶瓶吃奶時候造成的,特別是寶貝們喜歡抱著奶瓶入睡,晚上孩子吃母乳也會造成齲齒。由於咬物時牙齒就會被磨損消耗,導致細菌在牙齒內增生,進而是孩子患上齲齒

第2步

3對於兩三歲的孩子來說,為了避免齲齒發生在孩子身上,應該讓孩子在平時的時候少吃糖,尤其是少吃蔗糖,因為這種物質會黏在牙齒內部被的齲齒細菌吸收利用,齲齒繼續發展會使牙周神經感染引起疼痛。

注意事項:

為了避免齲齒得發生,減緩其發展速度,首先要放棄用奶瓶喝奶,盡量在晚上不要給孩子吃東西,吃完東西後要記得漱口或者刷牙。2歲的孩子正處於發育階段,齲齒對寶貝的危害很大的,所以平時一定要注意

關於0到1歲知識
寶寶消化不良喝點玉米粥

助寶寶消化食譜-玉米粥:玉米是一種常見的雜糧,含多種維生素和礦

媽媽該如何去掉嬰幼兒的鼻屎呢

嬰幼兒鼻腔內常有鼻屎,尤其傷風感冒之後或患過敏性鼻炎時。鼻屎阻

寶還不能單走正常嗎?

寶還不能單走正常嗎?

新生寶寶胎毛要不要剃?

  我國民間一直流傳著滿月剃胎毛的風俗。有不少媽媽都提

Copyright © 親寶網 All Rights Reserved